Cao răng là một trong những vấn đề răng miệng phổ biến nhưng lại thường bị xem nhẹ cho đến khi gây ra các triệu chứng khó chịu như hôi miệng, viêm nướu hay chảy máu chân răng. Thực chất, cao răng không chỉ ảnh hưởng đến thẩm mỹ mà còn là nguyên nhân tiềm ẩn của nhiều bệnh lý nha khoa nghiêm trọng nếu không được xử lý kịp thời. Vậy cao răng là gì, hình thành như thế nào và có thể điều trị ra sao để bảo vệ sức khỏe răng miệng lâu dài? Bài viết dưới đây sẽ giúp bạn hiểu rõ một cách chi tiết và dễ hiểu nhất.
Định nghĩa cao răng là gì?
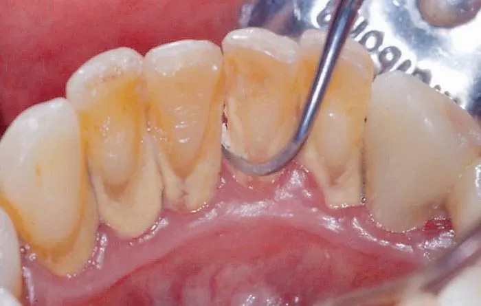
Cao răng (hay còn gọi là tartar, calculus) là những mảng bám cứng, xám hoặc vàng nâu bám chặt vào bề mặt răng, đặc biệt là gần đường viền nướu. Ban đầu, cao răng hình thành từ những mảng thức ăn thừa, vi khuẩn và khoáng chất trong nước bọt tích tụ trên răng. Nếu không được loại bỏ kịp thời bằng cách chải răng và sử dụng chỉ nha khoa thường xuyên, những mảng bám này sẽ dần bị vôi hóa, trở nên cứng và khó loại bỏ hơn rất nhiều.
Điều quan trọng cần hiểu là, cao răng không giống như mảng bám thông thường. Mảng bám mềm có thể dễ dàng loại bỏ bằng các biện pháp vệ sinh răng miệng hàng ngày, còn cao răng đã gắn chặt vào răng, đòi hỏi sự can thiệp của các phương pháp chuyên nghiệp.
Cao răng không chỉ là vấn đề thẩm mỹ. Nó tạo điều kiện lý tưởng cho vi khuẩn phát triển, gây ra viêm nướu, sâu răng và thậm chí là mất răng. Những vi khuẩn này sản sinh ra axit, tấn công men răng, dẫn đến sâu răng. Đồng thời, cao răng kích thích nướu bị viêm, gây chảy máu chân răng, sưng nướu và cuối cùng là bệnh nha chu, một bệnh lý nghiêm trọng ảnh hưởng đến cấu trúc nâng đỡ răng.
Các loại cao răng
- Cao răng trên nướu: Loại cao răng này thường có màu vàng hoặc cam, hình thành ở phần răng tiếp xúc với nước bọt và không khí. Cao răng trên nướu thường dễ nhìn thấy và có thể gây khó chịu khi chạm vào.
- Cao răng dưới nướu: Loại cao răng này có màu nâu sẫm hoặc đen, hình thành ở phần răng nằm dưới đường viền nướu. Cao răng dưới nướu khó phát hiện hơn và thường gây ra các vấn đề nghiêm trọng về nướu, như viêm nha chu.

Triệu chứng và dấu hiệu nhận biết
Việc nhận biết sớm các triệu chứng cao răng là rất quan trọng để có biện pháp can thiệp kịp thời, ngăn ngừa những biến chứng nghiêm trọng. Tuy nhiên, ở giai đoạn đầu, cao răng thường không gây ra bất kỳ triệu chứng rõ ràng nào. Chỉ khi cao răng tích tụ nhiều và gây ra các vấn đề về răng lợi, bạn mới bắt đầu cảm thấy khó chịu.
Triệu chứng thường gặp
- Hơi thở có mùi: Cao răng là nơi trú ẩn lý tưởng của vi khuẩn gây mùi, do đó, hơi thở có mùi hôi là một trong những dấu hiệu đầu tiên cho thấy bạn có thể bị cao răng.
- Chảy máu chân răng khi chải răng hoặc dùng chỉ nha khoa: Vi khuẩn trong cao răng gây viêm nướu, khiến nướu trở nên nhạy cảm và dễ chảy máu.
- Nướu bị sưng đỏ, đau nhức: Viêm nướu do cao răng gây ra sẽ khiến nướu bị sưng đỏ, đau nhức và khó chịu.
- Răng bị lung lay: Khi bệnh nha chu tiến triển, cấu trúc nâng đỡ răng bị phá hủy, dẫn đến răng bị lung lay và cuối cùng là mất răng.
- Ê buốt răng: Cao răng có thể gây ra mòn men răng và lộ chân răng, khiến răng trở nên ê buốt khi tiếp xúc với thức ăn nóng, lạnh hoặc đồ ngọt.
- Cảm giác khó chịu khi đeo răng giả: Cao răng tích tụ trên răng thật có thể gây cản trở và khó chịu khi đeo răng giả.
Nguyên nhân gây cao răng
- Vệ sinh răng miệng kém: Đây là nguyên nhân hàng đầu dẫn đến hình thành cao răng. Nếu bạn không chải răng ít nhất hai lần một ngày và sử dụng chỉ nha khoa thường xuyên, mảng bám sẽ tích tụ trên răng và dần bị vôi hóa.
- Chế độ ăn uống không lành mạnh: Ăn nhiều đường và tinh bột sẽ tạo điều kiện cho vi khuẩn phát triển, tăng tốc độ hình thành mảng bám và cao răng.
- Nước bọt: Thành phần nước bọt khác nhau ở mỗi người, và một số loại nước bọt có thể chứa nhiều khoáng chất hơn, thúc đẩy quá trình vôi hóa mảng bám.
- Thuốc lá: Hút thuốc lá không chỉ gây hại cho sức khỏe tổng thể mà còn làm tăng nguy cơ hình thành cao răng và mắc các bệnh về răng lợi.
- Độ tuổi: Người lớn tuổi thường có xu hướng hình thành cao răng nhanh hơn do sự suy giảm chức năng của nướu và men răng.
- Tình trạng răng miệng: Răng mọc lệch lạc, răng bị sâu hoặc có các khuyết điểm khác sẽ tạo ra những khe hở khó làm sạch, khiến mảng bám dễ tích tụ và vôi hóa.

Phương pháp điều trị hiện đại
Điều trị tại nha khoa
- Làm sạch bằng siêu âm: Sử dụng sóng siêu âm để phá vỡ và loại bỏ cao răng trên và dưới đường viền nướu.
- Làm sạch bằng máy lấy cao răng: Sử dụng các đầu lấy cao răng chuyên dụng để cạo bỏ cao răng một cách tỉ mỉ.
- Đánh bóng răng: Sau khi loại bỏ cao răng, bề mặt răng sẽ được đánh bóng để loại bỏ các vết bẩn và làm mịn răng, hạn chế sự tích tụ mảng bám trở lại.
- Điều trị nha chu: Nếu cao răng đã gây ra bệnh nha chu, bác sĩ sẽ tiến hành các phương pháp điều trị nha chu chuyên sâu để phục hồi cấu trúc nâng đỡ răng.
Điều trị tại nhà
- Chải răng đúng cách: Sử dụng bàn chải lông mềm và kỹ thuật chải răng phù hợp, chải ít nhất hai lần một ngày.
- Sử dụng chỉ nha khoa: Dùng chỉ nha khoa hàng ngày để loại bỏ mảng bám và thức ăn thừa ở những khu vực bàn chải không tiếp cận được.
- Súc miệng bằng nước muối sinh lý: Nước muối sinh lý giúp loại bỏ vi khuẩn và làm sạch răng miệng.
- Sử dụng các sản phẩm hỗ trợ: Một số loại kem đánh răng, nước súc miệng hoặc gel làm sạch răng có chứa các thành phần giúp ngăn ngừa sự hình thành cao răng.

Phòng ngừa và chăm sóc hàng ngày
- Chải răng thường xuyên: Chải răng ít nhất hai lần một ngày, sử dụng kem đánh răng có chứa fluoride.
- Sử dụng chỉ nha khoa hàng ngày: Đảm bảo loại bỏ mảng bám ở những khu vực khó tiếp cận.
- Khám răng định kỳ: Đến nha khoa kiểm tra răng miệng và lấy cao răng định kỳ 6 tháng một lần.
- Chế độ ăn uống lành mạnh: Hạn chế ăn đồ ngọt và tinh bột, tăng cường rau xanh và trái cây.
- Uống đủ nước: Nước giúp làm sạch răng miệng và kích thích sản xuất nước bọt.
- Ngừng hút thuốc lá: Thuốc lá làm tăng nguy cơ hình thành cao răng và mắc các bệnh về răng lợi.
Khi nào nên tìm bác sĩ chuyên khoa
- Nướu chảy máu nhiều và không ngừng.
- Nướu bị sưng đỏ, đau nhức và có mủ.
- Răng bị lung lay.
- Bạn bị ê buốt răng dữ dội.

Xem thêm:
- Cách đánh răng sạch sẽ: Bí quyết răng trắng và khỏe mạnh
- Cách thực hiện các mẹo làm trắng răng hiệu quả ngay hôm nay
Cao răng là một vấn đề răng miệng phổ biến, nhưng hoàn toàn có thể kiểm soát được bằng cách vệ sinh răng miệng đúng cách và khám răng định kỳ. Việc hiểu rõ về cao răng là gì, các triệu chứng cao răng, lý do cao răng hình thành và cách phòng ngừa cao răng sẽ giúp bạn bảo vệ sức khỏe răng miệng và có một nụ cười tươi tắn. Đừng chủ quan với những dấu hiệu nhỏ, hãy chủ động chăm sóc răng miệng ngay từ hôm nay. Để được tư vấn và điều trị chuyên sâu, hãy liên hệ với Nha Khoa DrGreen để được đội ngũ bác sĩ giàu kinh nghiệm hỗ trợ nhé! Chúng tôi luôn đồng hành cùng bạn trên hành trình bảo vệ sức khỏe răng miệng.












