
Trong bối cảnh nha khoa số hóa ngày càng phát triển, máy quét iTero Lumina™ ra đời như một bước tiến vượt bậc, mang đến giải pháp

Ngày 03/01/2025, tại cơ sở Nha Khoa DrGreen – HDS 11 Vinhomes Marina, Cầu Rào 2, Vĩnh Niệm, Lê Chân, Hải Phòng, lễ bàn giao Itero Lumina

Vừa qua Nha khoa Dr.Green vinh dự được Invisalign USA trao chứng nhận Platinum, đánh dấu một cột mốc quan trọng trong hành trình phát triển và

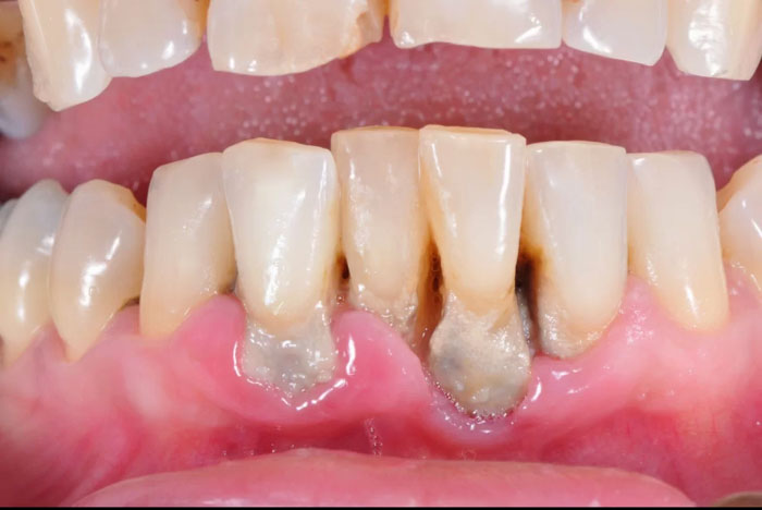
Chữa nha chu tại nhà là một phương pháp được nhiều người quan tâm, đặc biệt khi muốn duy trì sức khỏe răng miệng tốt mà không

Thành phố Hải Phòng ngày càng phát triển, nhu cầu làm đẹp, chăm sóc sức khỏe răng miệng cũng vì thế mà tăng mạnh. Tuy nhiên, việc











